x

Харааг сэргээх шинэ төрлийн нүдний суулгац бүтээжээ

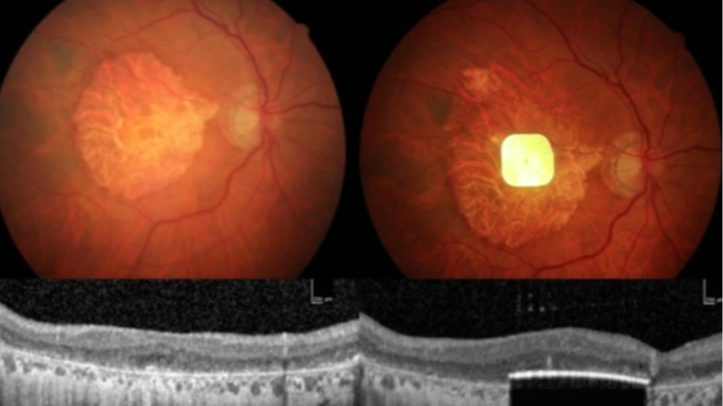
Лондоны Их сургуулийн коллеж (UCL), Мүүрфилдс эмнэлгийн судлаачид насжилтаас шалтгаалсан шар толбоны сөнөрөл өвчтэй хүмүүсийн харааг хэсэгчлэн сэргээж чадах нүдний суулгацыг зохион бүтээн туршжээ. Энэхүү суулгацыг нэмэлт бодит байдлын технологи бүхий нүдний шилтэй хослуулан ашигласнаар үр дүнд хүрсэн байна.

“The New England Journal of Medicine” (NEJM) сэтгүүлд нийтэлсэн судалгааны дүнг үзвэл, төвийн хараагаа бүрэн алдсан оролцогчдын 84 хувь нь үсэг, тоо болон үгсийг ялган таньж чадсан байна.

PRIMA хэмээн нэрлэсэн энэхүү суулгац нь ердөө 2×2 мм хэмжээтэй бичил чип бөгөөд торлог бүрхэвчний доор байрлуулдаг. Тус чип нь бичил нарны зай хураагуурын адил ажилладаг ажээ. Нүдний шилэнд суурилсан камер дүрсийг барьж авч, түүнийг инфра улаан туяаны дохио хэлбэрээр чип рүү дамжуулдаг байна. Харин чип уг мэдээллийг цахилгаан импульс болгон хувиргаснаар тархи түүнийг харааны мэдээлэл гэж хүлээн авдаг. Мэс засал хийсний дараа өвчтөнүүд хэдэн сарын турш сэргээн засах эмчилгээ хийлгэснээр дүрс, бичвэр болон хүний царайг таних чадвар нь аажмаар сэргэдэг байна.

Уг төслийн Британийн талын ахлагч, нүдний эмч Махи Мукитийн хэлснээр, анагаах ухааны түүхэнд анх удаа төвийн хараагаа бүрэн алдсан өвчтөнүүд дахин унших чадвараа сэргээж чаджээ. “Бид хиймэл харааны шинэ эрин үеийн босгон дээр ирээд байна” хэмээн тэрбээр онцлон тэмдэглэлээ.

Энэхүү технологи нь хараа алдалтын бусад хэлбэрийг эмчлэх универсал бионик системүүдийг хөгжүүлэх үндэс суурь болж чадна гэж зохион бүтээгчид үзэж байна. Олон улсад туршиж бүрэн дууссаны дараа уг төхөөрөмжийг хэрэглээнд нэвтрүүлэх зөвшөөрөл олгоно.

Эх сурвалж: NEJM

iСанал болгох
АНХААРУУЛГА: Та сэтгэгдэл бичихдээ хууль зүйн болон ёс суртахууны хэм хэмжээг хүндэтгэнэ үү. Хэм хэмжээ зөрчсөн сэтгэгдэлийг админ устгах эрхтэй.
iРедакцийн сонголт
iШинэ мэдээ
М.Зулькафильд МУИС-ийн “Эмерат профессор” цол хүртээлээ 2 цаг 18 мин Ц.Лут-Очир: Шатахууны хангамж үе үеийн Засгийн газрын худлаа ярьдаг ганц сэдэв боллоо 3 цаг 10 мин Эрчим хүчний гудамжны уулзварыг 24 цагийн хугацаанд хаана 3 цаг 27 мин “Гермес” төвийн нүхэн гарцыг түлхэж оруулах шинэ технологиор барьж байна 3 цаг 29 мин Баянхошууд шинэ “ногоон” хороолол сүндэрлэж байна 3 цаг 30 мин “Бахрейн 2025 – Азийн залуучуудын наадам”-ын хуваарь 3 цаг 33 мин Нийт нутгийн 46 хувьд цас тогтжээ 3 цаг 35 мин Фүжи уулын оргилд намрын анхны цас орлоо 3 цаг 38 мин Харааг сэргээх шинэ төрлийн нүдний суулгац бүтээжээ 3 цаг 39 мин Оросын эсрэг хоригийн дараа газрын тосны үнэ огцом өсөв 3 цаг 40 мин 2026 оны улсын төсвийн хуулийн төслүүд гурав дахь хэлэлцүүлгийн шатанд орлоо 3 цаг 42 мин Ливерпүүл Аваргуудын лигт Айнтрахтыг 5:1-ээр хожиж амжилтаа сэргээв 5 цаг 26 мин Төгрөгийн ам.доллартай харьцах ханш жилийн дотор 212 төгрөгөөр суларлаа 5 цаг 28 мин Европын парламент Сербид Оросын эсрэг хоригт нэгдэхийг уриалав 5 цаг 29 мин Үндсэн хуулийн цэц хүний нэр төрд халдсан мэдээлэлтэй холбоотой маргааныг хэлэлцэх хуралдаанаа хойшлууллаа 5 цаг 31 мин Туулын хурдны замын бүтээн байгуулалтын бэлтгэл ажил ид өрнөж байна 5 цаг 32 мин Баянгол дүүрэгт гамшгаас хамгаалах бэлэн байдлын үзлэг боллоо 5 цаг 34 мин Шатахууны нийлүүлэлтийг хэвийн болгох чиглэлд төр, хувийн хэвшлийнхэн хамтран ажиллаж байна 5 цаг 41 мин АНУ зөрчилд холбогдсон Иран иргэдийг захиалгат нислэгээр нутаг буцааж эхэллээ 7 цаг 37 мин Нийгмийн даатгалын нэр барьсан залилангийн тоо нэмэгджээ 7 цаг 38 мин
iИх уншсан
Г.Занданшатарын Засгийн газрыг огцруулсан саналын луйвар!!! Ж.Золжаргал: Монголд улс төрийн нам ерөөсөө болохгүй байна Нүүрсний ерөнхий менежер нь Төр "УИХ Үндсэн хууль зөрчсөн" гэдэг дүгнэлт гарвал ямар ч том э... Иосиф Бродскийг шүүсэн хурал Х.Нямбаатар: Түлшний нийлүүлэлтийг хоёр дахин нэмэгдүүллээ Ахмад настны тэтгэвэр, зээлийн асуудлаар гаргасан ажлын хэсг... О.Сэргэлэн: Тархины үхэлтэй донорын тогтолцоог хөгжүүлэх нь ... Эверестийн анхны экспедицийн домогт шерпа Канчха 92 насандаа... Шатахуун худалдаа эрхлэгч 21 ААН-д 52.6 тэрбум төгрөгийн тор... Бүх хүн тэгш эрхтэй, гахай илүү эрхтэй... Америкийн уулчин Эверестийн хойд энгэрээр цанаар буусан анхн... Ахмад настны тэтгэвэр, зээлийн асуудлыг хэлэлцэж, нэмэгдүүлэ... Нисэхийн уулзвараас Тэмээтэй хөшөө хүртэл нийтийн тээврийн т... 7 настай сурагчийн амь насыг хохироосон багшид бүх насаар нь... Жагсаал хүчирхийлэлд хүрсний улмаас Перу онц байдал зарлалаа... Эверестээс гадна Балбын нууцлаг оргилууд руу авирагчидыг тоо... Төгрөгийн хадгаламж өсөж, валютын хадгаламж буурлаа Үндэсний цэцэрлэгт хүрээлэнгийн газарт барилга барих асуудал... Шатахууны нөөцийг 30 хоногт хүргэхийн тулд ААН-үүдэд хөнгөлө...
Top